ترکی | فارسی | العربیة | English | اردو | Türkçe | Français | Deutsch
آخرین بروزرسانی : جمعه 5 دي 1404
جمعه 5 دي 1404
 لینک ورود به سایت
 
  جستجو در سایت
 
 لینکهای بالای آگهی متحرک سمت راست
 
 لینکهای پایین آگهی متحرک سمت راست
 
اوقات شرعی 
 
تاریخ : دوشنبه 1 مهر 1392     |     کد : 59924

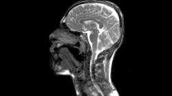
تهیه نخستین تصویر سه بعدی از حرکات زبان در زمان صحبت کردن

نخستین تصویر سه بعدی از چگونگی حرکت زبان در درون دهان در زمان حرف زدن تهیه شد.

 
نخستین تصویر سه بعدی از چگونگی حرکت زبان در درون دهان در زمان حرف زدن تهیه شد.
به گزارش خبرگزاری مهر، پژوهشگران دانشگاه گلاسکو با تهیه این تصاویر، وب سایت 'Seeing Speech' را راه اندازی کرده اند که در درواقع نخستین منبع از این نوع است عموم مردم می توانند فعالیت درونی تارهای صوتی انسان را وقتی که حرف می زند ببینند.

این شیوه بهترین روش را برای شناخت فرایندهایی که در زمان حرف زدن صورت می گیرد فراهم می کند و می تواند به دانشمندان، معلمان و متخصصان پزشکی و بازیگران کمک کند.

تصویربرداری اولتراسوند از زبان یک شیوه نسبتا جدید است که در آن برای ثبت تصویری از سطح زبان در طول صحبت کردن، از دستگاه اولتراسوند پزشکی استفاده می شود.

محققان در عین حال از فناوری MRI نیز برای تصویربرداری کل سیستم گفتار انسان از جمله حنجره و نرم کام استفاده کردند.

آنها یک پایگاه داده از ثبت آن لاین حرکات زبان افراد در هنگام صحبت کردن معمولی تهیه کرده اند.

کلاری تیمنس یکی از مجریان این طرح گفت: این یک منبع اینترنتی جدید بسیار جالب برای همه آنهایی است که علاقمند به چگونگی تولید صداهای گفتار توسط زبان هستند.

این شیوه تصویر شفاف و دقیقی از تولید گفتار از انواع لهجه های انگلیسی فراهم می آورد.

در این وب سایت یک پایگاه داده نیز تفاوت های لهجه را در تولید گفتار در سراسر انگلیس نشان می دهد که می تواند به افرادی که قصد مطالعه لهجه ها و تغییرات لهجه را دارند کمک کند.

در حال حاضر هیچ منبع منسجمی که رویدادهای درون دهان را در زمان صحبت کردن نشان دهد وجود ندارد.

این وب سایت دسترسی به تصاویر ویدیویی اولترسوند و MRI را فراهم می آورد که نشان دهنده حرکات دهان با سرعت واقعی و آهسته است.


نوشته شده در   دوشنبه 1 مهر 1392  توسط   مدیر پرتال   
PDF چاپ چاپ بازگشت
نظرات شما :
Refresh
SecurityCode