ترکی | فارسی | العربیة | English | اردو | Türkçe | Français | Deutsch
آخرین بروزرسانی : پنجشنبه 11 دي 1404
پنجشنبه 11 دي 1404
 لینک ورود به سایت
 
  جستجو در سایت
 
 لینکهای بالای آگهی متحرک سمت راست
 
 لینکهای پایین آگهی متحرک سمت راست
 
اوقات شرعی 
 
تاریخ : چهارشنبه 14 فروردين 1392     |     کد : 51755

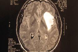
استفاده از روش ژنتیكی برای درمان سرطان مغز

محققان علوم پزشكی اعلام كردند با استفاده از كیسه های میكروسكوپی كه از سلول های مغز استخوان ساخته اند، موفق شدند سرطان را درمان كنند.


محققان علوم پزشكی اعلام كردند با استفاده از كیسه های میكروسكوپی كه از سلول های مغز استخوان ساخته اند، موفق شدند سرطان را درمان كنند.


محققان در بیمارستان «هنری فورد» شهر دیترویت آمریكا اعلام كردند با استفاده از این روش ژنتیكی می توان به درمان مناسب برخی سرطان ها امیدوار شد.

دكتر «میشل چوپ» و همكارانش می گویند مرحله آزمایشی این روش را با موفقیت طی كرده اند.

دكتر چوپ اظهارداشت: تصور می كنم روش جدید ، روشی مناسب برای درمان سرطان باشد و مطالعه ما نشان می دهد با استفاده از این روش می توان به خصوص، سرطان مغز را به راحتی درمان كرد.

حققان توانستند با تزریق این كیسه های میكروسكوپی موسوم به اكزوزوم، تومورهای سرطان را ظرف مدت ده روز به طور بارزی كوچك كنند و از حجم این تومورها بكاهند.

دانشمندان می گویند با این روش می توان به درمان سرطان مغز امیدوارتر شد.(واحد مركزی خبر)


نوشته شده در   چهارشنبه 14 فروردين 1392  توسط   مدیر پرتال   
PDF چاپ چاپ بازگشت
نظرات شما :
Refresh
SecurityCode