ترکی | فارسی | العربیة | English | اردو | Türkçe | Français | Deutsch
آخرین بروزرسانی : پنجشنبه 11 دي 1404
پنجشنبه 11 دي 1404
 لینک ورود به سایت
 
  جستجو در سایت
 
 لینکهای بالای آگهی متحرک سمت راست
 
 لینکهای پایین آگهی متحرک سمت راست
 
اوقات شرعی 
 
تاریخ : پنجشنبه 24 اسفند 1391     |     کد : 51133

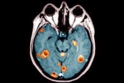
درمان سرطان مغز با سلول های چربی

دانشمندان دانشگاه جان هاپکینز در مطالعات آزمایشگاهی خود دریافتند سلول های بنیادی سلول های چربی بدن بیمار می تواند شیوه نوینی برای درمان مستقیم سرطان مغز پس از برداشتن تومور باشد.


دانشمندان دانشگاه جان هاپکینز در مطالعات آزمایشگاهی خود دریافتند سلول های بنیادی سلول های چربی بدن بیمار می تواند شیوه نوینی برای درمان مستقیم سرطان مغز پس از برداشتن تومور باشد.به گزارش خبرگزاری مهر، محققان می گویند سلول های بنیادی مزانشیمیایی توانایی توضیح داده نشده ای برای جستجوی سلول های آسیب دیده از جمله سلول های سرطانی دارند و می تواند یک ابزار جدید برای دستیابی به بخش هایی از مغز باشند که دسترسی به آنها دشوار است یعنی جاهایی که سلول های سرطانی می توانند پنهان شده و خود را تکثیر کنند.

این دانش پژوهان می گویند سلول های بنیادی مزانشیمی به دست آمده از چربی بدن بیمار شیوه کمتر تهاجمی و ارزان تر از گرفتن سلول های بنیادی از مغز استخوان است.

محققان دانشگاه جان هاپکینز می گویند بزرگ ترین چالش در سرطان مغز، مهاجرت سلول های سرطانی است. حتی وقتی که جراح تومور را از مغز خارج می کند برخی از سلول های سرطانی به بخش های دیگری از مغز نفوذ کرده و در جای دیگری از این عضو دردسر ساز می شوند. سرطان گلیوبلاستوم رایج ترین و تهاجمی ترین نوع سرطان مغز است.

این پژوهشگران در مطالعات خود به شیوه ای برای استفاده از سلول های سالم خود بیمار برای یافتن و از بین بردن سلول های سرطانی دست یافتند.

آنها سلول های بنیادی مزانشیمی را از سلول های چربی گرفته و کشت و رشد دادند.

به گفته محققان، سلول های بنیادی مزانشیمیایی که قابلیت قرار گرفتن در سلول های سرطانی را دارند می توانند به عنوان سازوکار انتقال دهنده عمل کرده و دارو، نانوذارت یا برخی درمانهای دیگر را به طور مستقیم به سلول های مغزی برسانند.

محققان می گویند هنوز تا آغاز آزمایش های انسانی این شیوه راه زیادی باقی مانده است.

به گفته محققان اگر این شیوه کار کند، می تواند زمان کوتاهی پیش از جراحی تومور، از هر جایی از بدن بیمار سلول های چربی را گرفت و در محیط آزمایشگاه آن را به دارو و دیگر درمانها تجهیز کرد و پس از برداشتن تومور با استفاده از جراحی این سلول ها را به مغز تزریق کردند تا این سلول ها با یافتن سلول های سرطانی پنهان شده در مغز آنها را نابود سازند.

در حالی حاضر شیمی درمانی، پرتو درمانی و جراحی شیوه های رایج درمان سرطان مغز گلیوبلاستوم است اما حتی با استفاده از تمامی این شیوه ها، بیمار به ندرت می تواند بیش از 18 ماه پس از تشخیص بیماری اش زنده بماند.

نتایج این تحقیقات درنشریه PLOS ONE منتشر شده است.



نوشته شده در   پنجشنبه 24 اسفند 1391  توسط   مدیر پرتال   
PDF چاپ چاپ بازگشت
نظرات شما :
Refresh
SecurityCode