ترکی | فارسی | العربیة | English | اردو | Türkçe | Français | Deutsch
آخرین بروزرسانی : سه شنبه 22 ارديبهشت 1405
سه شنبه 22 ارديبهشت 1405
 لینک ورود به سایت
 
  جستجو در سایت
 
 لینکهای بالای آگهی متحرک سمت راست
 
 لینکهای پایین آگهی متحرک سمت راست
 
اوقات شرعی 
 
تاریخ : دوشنبه 30 مرداد 1391     |     کد : 41490

کشف یک ساعت رشدی درون مغز

محققان دریافتند که یک ساعت رشدی درون مغز ما وجود دارد که می تواند سن دقیق هرکس را نشان دهد.

کشف یک ساعت رشدی درون مغز/ اسکنهایی که سن افراد را فاش می‌کنند
محققان دریافتند که یک ساعت رشدی درون مغز ما وجود دارد که می تواند سن دقیق هرکس را نشان دهد.
به گزارش خبرگزاری مهر، براساس نتایج تحقیقات جدید، محققان اظهار می دارند که این اکتشاف می تواند کارکردهای بزرگی برای پزشکی داشته باشد و بینشی برای چگونگی تغییر مغز ما در طی زمان فراهم می کند.



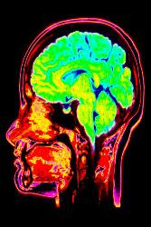
دانشمندان در سن دیگو تأکید کردند که یک اسکن MRI چون این تصویر، می توان نشان دهد که هرکس چند ساله است

تیموتی براون از دانشکده پزشکی سن دیگو، دانشگاه کالیفرنیا اظهار داشت: ما با یک ساعت رشدی در داخل مغز رو به رو شدیم که به مثابه یک نشانه زیستی از رشدی که می تواند تفاوتهای سنی را به خوبی نشان دهد کار می کند و کارکرد آن هیچ ارتباطی به تفاوتهای میان افراد ندارد.

وی با استفاده از سیستم تصویربرداری رزونانس مغناطیسى (MRI) مغز 885 نفر 3 تا 20 ساله را اسکن کرده است.

این اسکنهای مغزی برای شناسایی 231 شاخص زیستی آناتومی مغز مورد استفاده قرار گرفته و محققان توانستند با استفاده از آنها سن افراد را با 92 درصد صحت اعلام کنند.

براساس اظهارات محققان این سیستم تاکنون از هر اندازه گیری زیست شناسی دیگری جلوتر بوده است.

درحالی که محققان بسیاری در گذشته شاخصهای زیستی مغز را یک به یک بررسی کرده اند، کلید مسئله یافتن راهی برای ترکیب آنها به منظور دستیابی به ماهیت چند بعدی آناتومی مغز و الگوهای متمایز تغیر رشدی همگام با سن بوده است.

براون اظهار داشت: این حقیقت که ما مجموعه ای از اندازه گیریهای مغزی را کشف کرده ایم که به درستی می تواند سن فرد را تشخیص دهد به این معنا است که رشد مغز و یا دست کم ابعاد مشخص مربوط به آناتومی آن کنترل شده تر از چیزی است که پیشتر تصور می شد.



پزشکان می گویند که این کشف می تواند دستاورد مهم برای درک چگونگی سن مغز باشد

مسئله مهم در تشخیص میزان رشد به ویژه در میان کودکانی که در سن رشد هستند به این معنا است که تشخیص فعالیتهای غیرعادی مغز نیز ممکن است بسیار حساس باشد.

هنوز مشخص نشده است که این تغییرات آناتومی - رشدی چه ارتباطی به رفتارهای انسانی دارد.

روشل لنروت از مرکز تحقیقات عصب شناسی استرالیا تصریح کرد که این تحقیق می تواند به درک اختلالاتی چون اوتیسم کمک کند. 


نوشته شده در   دوشنبه 30 مرداد 1391  توسط   مدیر پرتال   
PDF چاپ چاپ بازگشت
نظرات شما :
Refresh
SecurityCode