ترکی | فارسی | العربیة | English | اردو | Türkçe | Français | Deutsch
آخرین بروزرسانی : دوشنبه 8 دي 1404
دوشنبه 8 دي 1404
 لینک ورود به سایت
 
  جستجو در سایت
 
 لینکهای بالای آگهی متحرک سمت راست
 
 لینکهای پایین آگهی متحرک سمت راست
 
اوقات شرعی 
 
تاریخ : چهارشنبه 30 فروردين 1396     |     کد : 177099

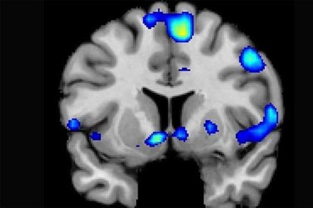
تشخیص محل HIV در مغز با اسکن MRI

به گفته محققان، به رغم درمان دارویی موثر ممکن است ویروس HIV در مغز باقی مانده و منجر به مشکلات شناختی شود.


به گفته محققان، به رغم درمان دارویی موثر ممکن است ویروس HIV در مغز باقی مانده و منجر به مشکلات شناختی شود.

محققان دریافتند پیگیری تغییرات ماده سفید مغز با استفاده از اسکن MRI می‌تواند به شناسایی محل این ویروس مرگبار کمک کند. به گفته محققان، ویروس HIV در مغز حدود ۱۰ تا ۱۵ درصد بیماران پخش می‌شود.

یافته‌ها نشان داد بیمارانی که در مغزشان علائم قطعی تغییر در ماده سفید وجود داشت ۱۰ برابر بیشتر از افراد دارای ظاهر عادی ماده سفید دارای HIV در مغزشان بودند.

این تغییرات در مغز موسوم به «اختلالات سیگنال دهی ماده سفید» با مشکلات شناختی مرتبط بوده و بواسطه التهاب در مغز ناشی از عفونت HIV ایجاد می‌شوند.

به گفته محققان دانشگاه کالج لندن، روند درمان HIV بسیار طولانی است اما بیمارانی که HIVشان بواسطه دارو متوقف شده است هنوز هم به دلیل التهاب مرتبط با HIV دارای مشکلات شناختی هستند.

به گفته تیم تحقق، «مطالعه جدید ما نشان می‌دهد اسکن MRI می‌تواند به شناسایی افراد پرخطر برای ازمایشات بعدی کمک کند و با شناسایی این افراد درمان دیگری برای آنها تجویز شود.»

 


نوشته شده در   چهارشنبه 30 فروردين 1396  توسط   کاربر 1   
PDF چاپ چاپ بازگشت
نظرات شما :
Refresh
SecurityCode